23 lutego 2022 / Życie z chorobą rzadką

Gdy szpik kostny włóknieje | Prof. dr hab. n. med. Joanna Góra-Tybor

Mielofibroza to rzadka choroba, która dotyka niespełna jedną osobę na 100 tys. mieszkańców na rok. Może w ogóle nie dawać objawów, a jeśli się one pojawiają, to są bardzo niespecyficzne. Kluczem do wykrycia choroby jest staranne zebranie wywiadu przez lekarza.

Gdy szpik kostny włóknieje | Prof. dr hab. n. med. Joanna Góra-Tybor

Mielofibroza (MF) zaliczana jest do nowotworów mieloproliferacyjnych. Co to za grupa nowotworów? 

Nowotwory mieloproliferacyjne to grupa rzadkich nowotworów krwi. Dzielą się na te z obecnością chromosomu Philadelphia i bez niego. Mielofibroza należy do nowotworów mieloproliferacyjnych Philadelphia ujemnych, czyli bez obecności chromosomu Philadelphia.

Czym charakteryzuje się mielofibroza?

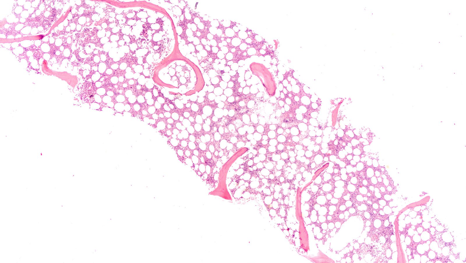
W tej chorobie patologiczne megakariocyty, czyli prekursory płytek krwi, wydzielają substancje powodujące włóknienie szpiku kostnego. Włóknista tkanka powoli zastępuje szpik kostny, co ogranicza jego zdolność do wytwarzania komórek krwi. Skutkiem tego krwiotworzenie przenosi się – jak to ma miejsce w życiu płodowym – do śledziony, wątroby. Narządy te zaczynają się powiększać aż do osiągnięcia naprawdę dużych rozmiarów w zaawansowanej mielofibrozie. Taki stan wywołuje poważne dolegliwości u chorej osoby.

Mielofibroza jest też chorobą cytokinową, co znaczy, że organizm chorego wydziela bardzo dużo cytokin (pełnią w układzie immunologicznym rolę regulacyjną) wywołujących objawy ogólne jak chudnięcie, wzmożone poty, osłabienie, stany podgorączkowe, bóle kostne.

Zatem objawy ogólne mogą sugerować wiele chorób. Co może stanowić podpowiedź dla lekarza na początku procesu diagnostycznego?

Mielofibroza jest chorobą trudną do rozpoznania. Lekarz pierwszego kontaktu, bo to do niego przeważnie w pierwszej kolejności trafia pacjent ze swoimi dolegliwościami, powinien sprawdzić, czy śledziona nie jest powiększona. Jej powiększenie wyczuwalne jest palcami podczas zwykłego badania brzucha, tzw. przedmiotowego. W morfologii krwi obwodowej stwierdza się niedokrwistość, prawidłową, zwiększoną lub zmniejszoną liczbę leukocytów, nadpłytkowość na początku choroby, a w późniejszych fazach często małopłytkowość. 

Mielofibroza jest chorobą rzadką, jak częste są zachorowania? Czy istnieją czynniki predysponujące do niej, np. wiek?

Częstość występowania tej choroby to niespełna jedna osoba na 100 tys. mieszkańców na rok. Faktem jest, że na mielofibrozę na ogół zapadają osoby starsze. Większość chorych stanowią osoby po 60. roku życia, natomiast ok. 10 proc. to młodsi pacjenci, poniżej 40. roku życia.

Jakie jest rokowanie dla chorych na mielofibrozę?

Rokowania są bardzo różne w zależności od zaawansowania choroby. Na wczesnym etapie, tzw. mielofibrozy prefibrotycznej, czyli postaci przedzwłóknieniowej, przed chorym jest wiele lat prawdopodobnego przeżycia. Natomiast w zaawansowanych MF czas przeżycia jest krótki i wynosi 2-3 lata. To są postacie, w których gdy wiek chorego i stan ogólny na to pozwalają, kwalifikujemy go do transplantacji szpiku. Jest to jedyna terapia pozwalająca wyleczyć z mielofibrozy.

Jakie są inne metody terapeutyczne poza transplantacją szpiku? 

Jest stare, tradycyjne leczenie cytostatykiem – hydroksykarbamidem. Stosujemy go przede wszystkim przy znacznie podwyższonej liczbie krwinek białych albo płytek krwi. We wczesnych mielofibrozach, przedzwłóknieniowych, możemy wykorzystać interferon. Dzięki niemu często udaje się dobrze kontrolować chorobę na tym etapie jej rozwoju.

Stosunkowo nową grupą leków są inhibitory kinazy JAK. JAK to enzym, kinaza janusowa. W mielofibrozie dochodzi do nadmiernego pobudzenia tego enzymu, co odpowiada za wiele objawów: gorączkę, poty, osłabienie, w pewnym stopniu również za powiększenie śledziony. Inhibitory JAK hamują patologicznie pobudzony szlak metaboliczny JAK-STAT.

Zarejestrowane są dwa leki z tej grupy – ruksolitynib i fedtratynib. Do pierwszego z nich mają w Polsce dostęp w ramach programu lekowego chorzy na zaawansowaną mielofibrozą. Natomiast fedratynib czeka na swój program lekowy. Jest to lek, który moglibyśmy stosować np. po niepowodzeniu leczenia ruksolitynibem. Obydwa leki mają wygodną w stosowaniu postać doustną.

Jak dostępność fedratynibu mogłaby pomóc chorym na MF i którym?

On by na pewno pomógł chorym, którzy przestali reagować na ruksolitynib, albo mają powikłania nie pozwalające go przyjmować. Na ogół na początku pacjent reaguje na to leczenie, natomiast czas działania to jest 2-3 lata. Potem ci chorzy pozostają już bez skutecznej opcji leczenia, ponieważ nie mamy leku, który moglibyśmy podać po niepowodzeniu leczenia ruksolitynibem. W takiej sytuacji fedratynib byłby niezwykle cenny.

Wszedłby więc do II linii leczenia?

Uważam, że fedratynib przede wszystkim byłby bardzo potrzebny w II linii leczenia po zastosowaniu ruksolitynibu. Jednak lek ten ma też rejestrację w I linii. Lekarz prowadzący miałby wtedy wybór, od którego inhibitora kinazy JAK rozpocząć terapię.

 Artykuł powstał w ramach kampanii „Życie z chorobą rzadką – każdy pacjent jest ważny” portalu Pacjentilekarz.pl.

Podobne artykuły