
Definicja ostrej białaczki
Ostra białaczka jest rzadkim nowotworem złośliwym powstającym w szpiku kostnym i obecnym we krwi obwodowej, wywodzącym się z najmłodszych komórek układu krwiotwórczego. Nazwa „ostra” wskazuje, że do rozwoju choroby dochodzi nagle, najczęściej w ciągu kilku tygodni lub dni i choroba postępuje szybko i agresywnie. Dlatego też chorzy wymagają pilnej diagnostyki i natychmiastowego podjęcia leczenia.
Rodzaje ostrych białaczek
Wyróżnia się dwie duże grupy ostrych białaczek:
- szpikowe (OBSz),
- limfoblastyczne (OBL).
Jak powstaje ostra białaczka?
Aby wytłumaczyć, na czym polega choroba, musimy przytoczyć podstawowe informacje na temat szpiku kostnego i powstawania komórek krwi. Komórki występujące we krwi dzielimy na trzy podstawowe grupy:
- krwinki czerwone (erytrocyty) odpowiedzialne za przenoszenie tlenu;
- płytki krwi (trombocyty) odpowiedzialne za krzepnięcie krwi;
- krwinki białe (leukocyty) odpowiedzialne ogólnie za odporność. Krwinki białe są najbardziej różnorodną grupą, wyróżniamy ich pięć rodzajów, natomiast zdecydowaną większość wśród nich stanowią neutrofile (inaczej granulocyty lub granulocyty obojętnochłonne) oraz limfocyty. Główną funkcją neutrofili jest walka z zakażeniami bakteryjnymi i grzybiczymi, limfocyty zaś zwalczają infekcje wirusowe, ale poza tym ich główną funkcją jest sterowanie i regulowanie układu odpornościowego, który stanowi jeden z najbardziej skomplikowanych układów w organizmie ludzkim.
Wszystkie te komórki powstają w szpiku kostnym, czyli tkance, która znajduje się wewnątrz kości.
Szpik kostny to miejsce produkcji krwinek białych, czerwonych, płytek krwi. U dorosłych produkcja krwi odbywa się głównie w szpiku kości płaskich: mostka, żeber, kości miednicy, łopatek, czaszki i trzonów kręgów. W ich wnętrzu obecne jest rusztowanie, tzw. zrąb szpiku, a w nim zawieszone są poszczególne komórki nazywane krwiotwórczymi. Wszystkie krwinki powstają z obecnych w szpiku kostnym bardzo pierwotnych komórek macierzystych. Pod wpływem rozmaitych czynników zaczynają dojrzewać i nabierać stopniowo cech koniecznych do pełnionych przez nie funkcji. Kiedy są już całkowicie dojrzałe, komórki te przechodzą ze szpiku do krwi obwodowej i zaczynają krążyć w całym organizmie. Część z krążących limfocytów przechodzi z krwi obwodowej do węzłów chłonnych, śledziony i niektórych narządów.

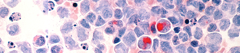
W szpiku kostnym można zatem stwierdzić rozmaite komórki na różnym etapie dojrzewania, najmłodsze z nich określa się mianem blastów. Komórki białaczkowe to właśnie blasty, czyli nieprawidłowe oraz niedojrzałe krwinki białe. W ostrej białaczce szpikowej są to mieloblasty i/lub monoblasty wraz z promonocytami, rzadziej promielocyty. W ostrej białaczce promielocytowej bardzo rzadko są nimi megakarioblasty czy erytroblasty. W ostrej białaczce limfoblastycznej będą to limfoblasty.
W opisywanej chorobie dochodzi do sytuacji, kiedy komórki blastyczne, z których powinien powstać jeden z rodzajów białych krwinek, przestają dojrzewać i równocześnie zaczynają się intensywnie mnożyć. Te nieprawidłowe, niedojrzałe komórki zaczynają wypełniać cały szpik, dlatego hamują powstawanie komórek prawidłowych. Z tego powodu najczęstszym odchyleniem stwierdzanym na początku choroby jest obniżona ilość poszczególnych krwinek w badaniu morfologii krwi. Typowo stwierdza się jednocześnie obniżone wartości wszystkich rodzajów krwinek (czyli czerwonych, białych i płytek krwi) lub dwóch rodzajów.
W części przypadków przestaje działać bariera krew-szpik i blasty białaczkowe przedostają się do krwi obwodowej. Wówczas wynik morfologii krwi pokazuje znacznie podwyższoną liczbę białych krwinek, często zwiększającą się z dnia na dzień. Należy pamiętać, że są to komórki patologiczne, które nie pełnią swoich funkcji, a w rzeczywistości chory ma niedobór prawidłowych białych krwinek. Blasty te krążą po organizmie razem z krwią, mogą przedostawać się do różnych narządów i je naciekać, powodując zaburzenia ich funkcji. Ponadto zdarza się, że ilość blastów we krwi szybko narasta i jest bardzo wysoka – przy normie dla białych krwinek 10 tysięcy/mm3, wynosi ona nawet 300 tysięcy/mm3. Powoduje to utrudnienia w przepływie krwi (krew niejako staje się zbyt „gęsta”) i stanowi stan zagrożenia życia wymagający pilnej interwencji lekarskiej.
Dużo szybszy wzrost ilości blastów niż komórek prawidłowych skutkuje naciekaniem szpiku kostnego i wypieraniem, czyli zajmowaniem miejsca prawidłowych komórek, z których powinny tworzyć się właściwe krwinki białe, czerwone i płytkowe. Niewydolność szpiku kostnego spowodowana naciekiem nowotworowym, prowadzi do obniżonej liczby krwinek czerwonych i hemoglobiny, czyli niedokrwistości oraz do obniżonej liczby płytek krwi, czyli małopłytkowości, także do obniżonej liczby neutrofilów (inne nazwy: neutrocytów, granulocytów lub segmentów) i neutropenii. Naciekanie przez blasty tkanek i narządów innych niż szpik kostny daje różnorodny obraz objawów i dolegliwości.
Przyczyny rozwoju ostrej białaczki
Nie do końca poznane są mechanizmy przekształcenia prawidłowej komórki w komórkę białaczkową, czyli transformacji nowotworowej. Ważną rolę odgrywają zmiany, błędy, czyli tzw. mutacje w genach o kluczowym znaczeniu dla namnażania się, wyodrębniania, dojrzewania i przeżycia określonych komórek szpiku kostnego.
Nagromadzenie mutacji genetycznych w komórkach szpiku kostnego przyczynia się do powstania nieprawidłowych komórek (nowotworowych blastów). Jeśli błędy genetyczne nie zostaną usunięte przez mechanizmy naprawcze, a nieprawidłowe komórki wychwycone przez układ immunologiczny i zniszczone, może dojść do rozwoju ostrej białaczki.
W ostatnim czasie istotną rolę w powstawaniu nowotworów mieloproliferacyjnych, w tym OBSz, przypisuje się hematopoezie klonalnej o nieokreślonym potencjale (CHIP, clonal hematopoiesis of indeterminate potential). CHIP polega na nabyciu przez krwiotwórczą komórkę macierzystą szpiku kostnego mutacji, dających jej przewagę nad innymi komórkami i prowadzących do namnażania się klonów komórek o podobnym tle genetycznym.
CHIP wykrywa się we krwi u przynajmniej 10% osób powyżej 65 r.ż. bez chorób hematologicznych w wywiadzie. CHIP może wyprzedzać rozwój nowotworu.
Określenie czynników, które wywołały ostrą białaczkę u danego chorego, jest trudne. Z całą pewnością nie jest to choroba zakaźna ani choroba, którą można przenieść z jednego chorego na drugiego czy też ze zwierzęcia na człowieka. Ostra białaczka nie jest też chorobą wrodzoną, gdy pojawia się u dorosłych ludzi. Można jednak odziedziczyć podatność na OBSz.
Długotrwały kontakt z pewnymi czynnikami sprzyjającymi rozwojowi ostrej białaczki, czyli czynnikami leukemogennymi może, ale nie musi, doprowadzić do OBSz. Jednocześnie rozwój OBSz obserwuje się u osób, które nie miały kontaktu ze znanymi czynnikami leukemogennymi.
Czynniki sprzyjające rozwojowi ostrej białaczki:
- palenie tytoniu;
- czynniki środowiskowe, w tym kontakt z promieniowaniem jonizującym, produktami petrochemicznymi, rozpuszczalnikami (benzen), lekami (fenylobutazon). Dlatego też częściej obserwuje się tę chorobę u osób, które miały zawodowy kontakt z substancjami toksycznymi (głównie benzenem);
- wcześniejsza chemioterapia z powodu innego nowotworu, w tym:
- leki alkilujące, przede wszystkim cyklofosfamid, melfalan,
- inhibitory topoizomerazy, w tym mitoksantron, doksorubicyna, etopozyd,
- analogi puryn, szczególnie fludarabina w skojarzeniu z lekami alkilującymi;
- wcześniejsza radioterapia z powodu innego nowotworu;
- choroby uwarunkowane genetycznie, obecne w momencie urodzenia, w tym zespół Downa, zespół Blooma, niedokrwistość Fanconiego;
- starszy wiek i płeć męska, w przypadku OBSz;
- obecna choroba hematologiczna, przede wszystkim zespół mielodysplastyczny, w przypadku OBSz.
U większości chorych nie jesteśmy jednak w stanie określić czynnika przyczynowego.
Epidemiologia, czyli kto choruje na ostre białaczki
Ostre białaczki stanowią około 2% wszystkich nowotworów. OBSz stanowią około 80%, a OBL około 20% ostrych białaczek u dorosłych.
Przeciętny wiek chorych w momencie rozpoznania OBSz wynosi 67 lat. U ponad połowy chorych OBSz rozpoznawana jest w wieku powyżej 65 lat, a u jednej trzeciej powyżej 75. roku życia.
Ostre białaczki szpikowe stanowią zdecydowaną większość ostrych białaczek u dorosłych. Według danych amerykańskich zapadalność u dorosłych na OBSz wynosi średnio 4,2/100 000 mieszkańców/rok. Chociaż choroba ta może występować u ludzi młodych, jej częstość zdecydowanie rośnie z wiekiem – dla porównania u osób powyżej 60 roku życia stwierdza się 10 nowych przypadków na 100 tys. mieszkańców.
Ostre białaczki limfoblastyczne to domena dzieci, stanowią aż 80 procent przypadków białaczek u dzieci, natomiast u dorosłych występują znacznie rzadziej, ok. 1/100 000 mieszkańców/rok; częściej występują również w wieku starszym.
Objawy kliniczne ostrej białaczki
Pojawiają się zwykle 1-2 miesiące przed postawieniem rozpoznania. Wynikają z obecności komórek nowotworowych w szpiku kostnym, krwi obwodowej i/lub narządach wewnętrznych, co manifestuje się objawami:
- niedokrwistości: osłabieniem, pogorszeniem tolerancji wysiłku fizycznego, bladością skóry i spojówek;
- małopłytkowości: krwawieniami, siniakami;
- neutropenii: infekcjami.
Często występują: stany gorączkowe lub podgorączkowe, poty, brak apetytu. W niektórych przypadkach obecna jest hyperleukocytoza z objawami leukostazy i/lub zajęcie narządów pozaszpikowych. Objawy zajęcia narządów/tkanek pozaszpikowych: najczęściej przerost dziąseł, nacieki/guzki w obrębie skóry, rzadziej powiększenie węzłów chłonnych, wątroby, śledziony czy też patologiczne objawy neurologiczne przy zajęciu ośrodkowego układu nerwowego.
Hyperleukocytoza to leukocytoza (podwyższona liczba krwinek białych) przekraczająca 100G/l w OBSz oraz 200 do 400G/l w OBL. Jest stanem nagłym, wymaga podjęcia natychmiastowych działań zmierzających do zmniejszenia liczby krwinek białych, czyli do cytoredukcji. Różnica w poziomie odcięcia liczby leukocytów między OBSz a OBL wynika z faktu, że mieloblasty mają większy rozmiar i mniejszą odkształcalność niż limfoblasty. Wysoka liczba blastów zwiększa ryzyko rozwoju leukastazy, zaburzeń krzepnięcia, w tym zespołu wykrzepiania wewnątrznaczyniowego (DIC, disseminated intravascular coagulation) oraz zespołu lizy guza (TLS, tumor lysis syndrome). W przypadku hyperleukocytozy stosuje się cytostatyki dostosowane do rodzaju białaczki, często hydroksymocznik i zabiegi leukaferezy leczniczej.
Leukostaza jest stanem nagłym o wysokiej śmiertelności, nawet do 40% chorych. Zaburzenie to pojawia się zwykle w przebiegu hyperleukocytozy, choć może wystąpić przy leukocytozie poniżej 100G/l. Duża ilość blastów powoduje niedrożność małych naczyń krwionośnych, następnie niedokrwienie tkanek i narządów, najczęściej ośrodkowego układu nerwowego i płuc. Typowe objawy to: duszność, niewydolność oddechowa, upośledzona czynność nerek, zaburzenia neurologiczne, w tym bóle głowy, zaburzenia świadomości, zaburzenia widzenia oraz zaburzenia krzepnięcia.
Leukafereza jest zabiegiem z wykorzystaniem urządzenia – separatora komórkowego umożliwiającego automatyczne pobieranie krwi chorego, rozdzielenie jej składników poza organizmem za pomocą wirowania i zatrzymanie leukocytów. Jednocześnie odzyskuje się pozostałe składniki krwi i podaje je zwrotnie choremu. Liczba leukocytów, w tym krążących blastów szybko ulega zmniejszeniu, niestety są one zastępowane przez kolejne blasty ze szpiku kostnego. Leukafereza nie usuwa blastów zagregowanych w świetle naczyń i naciekających narządy, które dalej indukują reakcję zapalną. W trakcie leukaferezy stosowany jest antykoagulant, zwykle cytrynian, który wiąże wapń. W trakcie i po zabiegu mogą pojawić się objawy obniżonego stężenia wapnia tzw. hypokalcemii. Najgroźniejszym powikłaniem jest wydłużenie odstępu QTc w badaniu EKG i możliwość indukowania zaburzeń rytmu serca.
Typy ostrej białaczki szpikowej
Ostra białaczka szpikowa nie jest chorobą jednorodną, w jej obrębie wyróżnia się wiele podtypów, różniących się stopniem dojrzałości komórek, typem białek (antygenów) na powierzchni komórek, obecnością odmiennych zaburzeń genetycznych.
Biorąc pod uwagę biologię choroby, odmiennymi podtypami pod względem cech histopatologicznych, genetycznych, wyników leczenia i rokowania są:
- wtórne OBSz (sAML, secondary acute myeloid leukemia):
- OBSz zależna od terapii (t-AML, therapy related acute myeloid leukemia);
- OBSz rozwijająca się na podłożu innego nowotworu mieloproliferacyjnego, zespołu mielodysplastycznego czy też mielodysplastyczno/mieloproliferacyjnego, także przewlekłej białaczki mielomonocytowej (s-AML, secondary acute myeloid leukemia);
- OBSz związane z cechami mielodysplazji (AML-MRC, acute myeloid leukemia with myelodysplasia related changes).
Ostra białaczka zależna od terapii
Występuje jako późne powikłanie, najczęściej 3 do 10 lat po wcześniejszym zastosowaniu chemioterapii (przed wszystkim: leków alkilujących, w tym cyklofosfamidu, melfalanu, inhibitorów topoizomerazy w tym mitoksantronu, doksorubicyny, etopozydu, analogów puryn, szczególnie fludarabiny w skojarzeniu z lekami alkilującymi) lub/i radioterapii z powodu innego nowotworu.
Charakteryzuje się wyjątkowo niekorzystnym rokowaniem, krótszymi przeżyciami w porównaniu do innych podtypów.
Ostra białaczka szpikowa związana z cechami mielodysplazji
Grupa białaczek wysokiego ryzyka, w których występują cechy mielodysplazji lub OBSz jest poprzedzona zespołem mielodysplastycznym, czy też stwierdza się zmiany cytogenetyczne związane z mielodysplazją. Na podstawie badań opublikowanych w literaturze medycznej mniejsza ilość chorych osiąga całkowite remisje w porównaniu do innych podtypów OBSz, a przeciętne przeżycie wynosi około 9-12 miesięcy.
Ostra białaczka promielocytowa
Szczególnym podtypem wymagającym odrębnego omówienia jest ostra białaczka promielocytowa. Podtyp ten występuje rzadko, cechuje się gwałtownym przebiegiem. Uznawana jest za stan nagły wymagający pilnej diagnostyki i leczenia z powodu wysokiego ryzyka powikłań krwotocznych, w tym krwawień do ośrodkowego układu nerwowego skutkujących wysoką śmiertelnością.
Podtyp należy podejrzewać u chorych z obecnością podwyższonego odsetka promielocytów, z zaburzeniami krzepnięcia, w tym zespołem wykrzepiania wewnątrznaczyniowego (DIC), krwawieniami. Już na etapie podejrzenia ostrej białaczki promielocytowej należy do leczenia włączyć preparat ATRA, wyrównywać zaburzenia krzepnięcia i równolegle prowadzić diagnostykę.
Podstawą rozpoznania tego podtypu są badania genetyczne wykrywające translokację t(15;17)(q22;q12) lub transkrypt PML/RARAα. W rozwoju ostrej białaczki promielocytowej z nieznanych przyczyn dochodzi do zetknięcia 2 chromosomów: 15. i 17., a następnie powstania nieprawidłowego genu fuzyjnego nazywanego PML/RARAα, będącego wadliwym receptorem dla kwasu retinowego. Zmiany te powodują blok różnicowania komórek w stadium promielocyta i naciek nowotworowych promielocytów w szpiku kostnym. Rozpadające się promielocyty uwalniają ziarnistości, o aktywności enzymów indukujących zaburzenia krzepnięcia i krwawienia.
Typy ostrej białaczki limfoblastycznej
Ostra białaczka limfoblastyczna jest chorobą heterogenną, w jej obrębie wyróżnia się kilkanaście podtypów różniących się stopniem dojrzałości komórek, typem białek (antygenów) na powierzchni komórek, obecnością odmiennych zaburzeń genetycznych.
Wyróżniamy ostrą białaczkę limfoblastyczną z limfoblastów:
- linii B (75%) lub
- linii T (25%).
W obrębie OBL z linii B najistotniejsze pod względem wyboru leczenia jest określenie, czy w badaniach genetycznych stwierdzany jest nieprawidłowy chromosom Philadelphia (Ph+).
Chromosom Ph powstaje w wyniku translokacji pomiędzy chromosomem 9. a 22. – t(9;22)(q34;q11). Gen ABL1 z chromosomu 9. zostaje przeniesiony w rejon złamania klastrów (BCR, breakpoint cluster region) na ramieniu długim chromosomu 22., tworząc gen fuzyjny BCR/ABL1.
Chromosom Ph stwierdza się u około 20-35% chorych dorosłych na OBL.