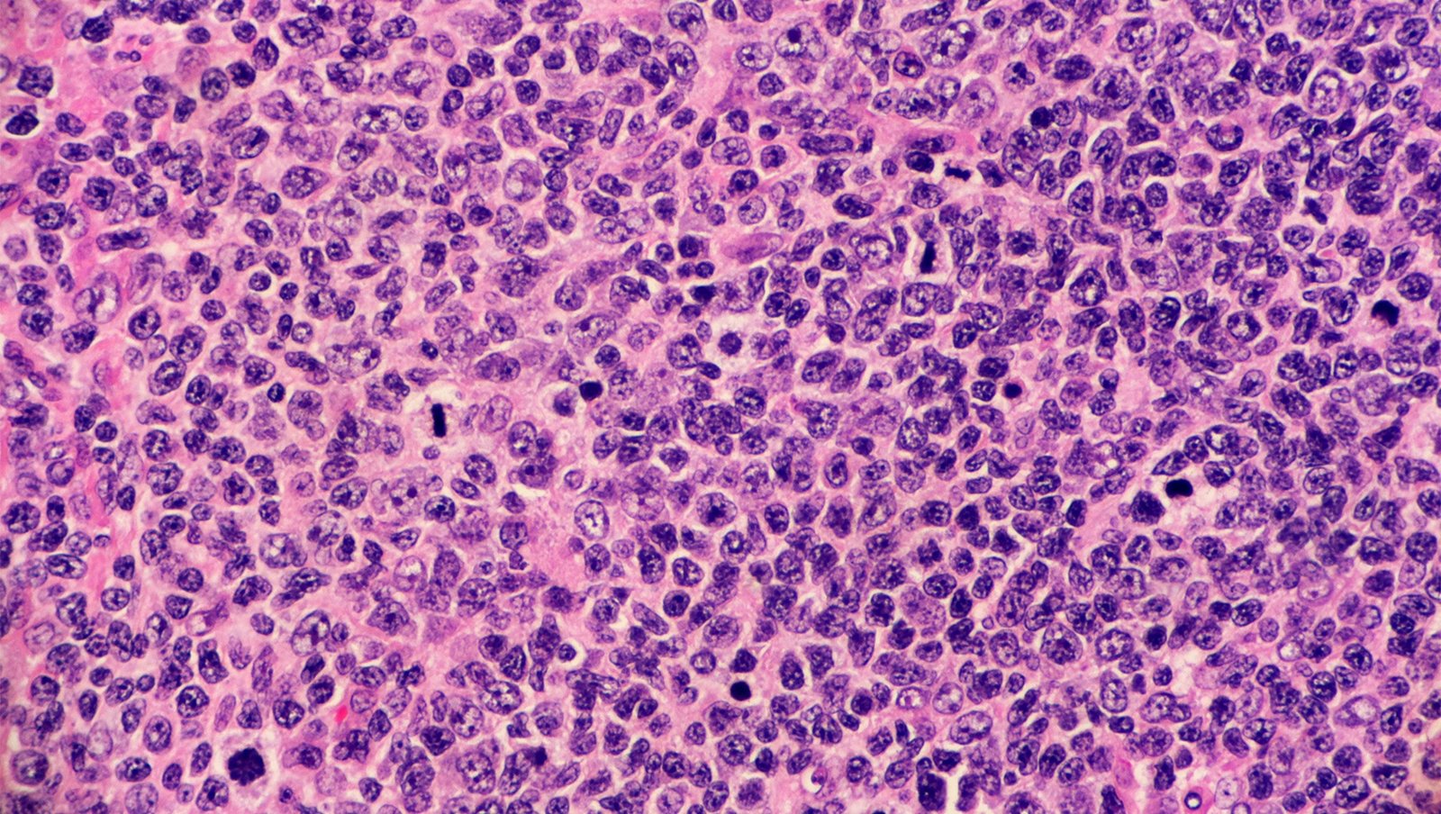
Na tegorocznym, 11. spotkaniu SOHO (The Eleventh Annual Meeting of the Society of Hematologic Oncology), które odbyło się 6-9 września w Houston, zaprezentowano plakat, na którym badacze wykazali, że dodanie metforminy do standardowych schematów chemioterapii u pacjentów z rozlanym chłoniakiem z dużych komórek B (diffuse large B-cell lymphoma, DLBCL), może poprawiać skuteczność leczenia bez istotnego wpływu na wskaźniki toksyczności. Autorzy zwracają jednak uwagę, że w celu ustalenia, którzy pacjenci rzeczywiście odniosą korzyść z tej strategii terapeutycznej konieczna jest dalsza analiza podgrup.
Materiał przeznaczony wyłącznie dla pracowników służby zdrowia
Ten materiał jest dostępny dla zarejestrowanych użytkowników.
Zaloguj się
Szanowni użytkownicy,
część materiałów udostępnianych na naszym portalu jest przeznaczona
wyłącznie dla lekarzy.
Wynika to z regulacji prawnych, do których musimy się stosować.
Jeśli nie jesteś lekarzem, zachęcamy do korzystania z przygotowanych przez nas materiałów dostępnych w zakładce dla pacjentów.





