26 lutego 2016 / dr Krzysztof Mądry

Neutropenia a MDS

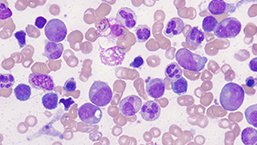
Występowanie i kliniczne znaczenie neutropenii u osób, które miały rutynowo wykonaną morfologię krwi obwodowej i ocena związku neutropenii z ryzykiem rozwoju nowotworów hematologicznych m.in. zespołów mielodysplastycznych.

Neutropenia a MDS

Materiał przeznaczony wyłącznie dla pracowników służby zdrowia

Ten materiał jest dostępny dla zarejestrowanych użytkowników.

Zaloguj się

Szanowni użytkownicy,
część materiałów udostępnianych na naszym portalu jest przeznaczona wyłącznie dla lekarzy.
Wynika to z regulacji prawnych, do których musimy się stosować.

Jeśli nie jesteś lekarzem, zachęcamy do korzystania z przygotowanych przez nas materiałów dostępnych w zakładce dla pacjentów.

Kalkulator Hematologa
Aplikacja Kalkulator Hematologa

Kalkulator hematologa jest dostępny również jako aplikacja mobilna dla smartfonów pracujących pod kontrolą systemów Android albo iOS.

pobierz z Google Play Pobierz przez App Store

Podobne artykuły