21 marca 2012 / dr hab. B. Stella-Hołowiecka

Zespół „MonoMAC„ i MDS

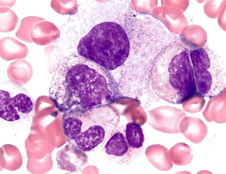
Mielodysplazja w dziedziczonym autosolamnie dominująco i ze sporadyczną monocytopenią zespole niedoboru odporności : cechy diagnostyczne i ich znaczenie kliniczne – stale poszerzamy wiedzę o mielodysplazji i zespołach mielodysplastycznych.

Zespół „MonoMAC„ i MDS

Materiał przeznaczony wyłącznie dla pracowników służby zdrowia

Ten materiał jest dostępny dla zarejestrowanych użytkowników.

Zaloguj się

Szanowni użytkownicy,
część materiałów udostępnianych na naszym portalu jest przeznaczona wyłącznie dla lekarzy.
Wynika to z regulacji prawnych, do których musimy się stosować.

Jeśli nie jesteś lekarzem, zachęcamy do korzystania z przygotowanych przez nas materiałów dostępnych w zakładce dla pacjentów.

Kalkulator Hematologa
Aplikacja Kalkulator Hematologa

Kalkulator hematologa jest dostępny również jako aplikacja mobilna dla smartfonów pracujących pod kontrolą systemów Android albo iOS.

pobierz z Google Play Pobierz przez App Store

Podobne artykuły