16 marca 2012 / dr Krzysztof Mądry

Ciężka neutropenia jest niekorzystnym czynnikiem prognostycznym u chorych na zespoły mielodysplastyczne niskiego ryzyka

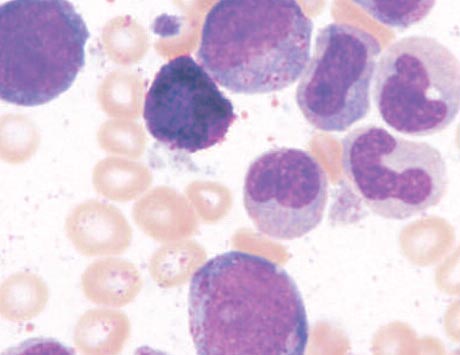
Do Hiszpańskiego Rejestru MDS prowadzonego w latach 2000-2009 włączono 1109 pacjentów z indeksem niskim i pośrednio-niskim wg IPSS. Mediana liczby neutrofili w całej grupie wyniosła 2,4 G/L.

Ciężka neutropenia jest niekorzystnym czynnikiem prognostycznym u chorych na zespoły mielodysplastyczne niskiego ryzyka

Materiał przeznaczony wyłącznie dla pracowników służby zdrowia

Ten materiał jest dostępny dla zarejestrowanych użytkowników.

Zaloguj się

Szanowni użytkownicy,
część materiałów udostępnianych na naszym portalu jest przeznaczona wyłącznie dla lekarzy.
Wynika to z regulacji prawnych, do których musimy się stosować.

Jeśli nie jesteś lekarzem, zachęcamy do korzystania z przygotowanych przez nas materiałów dostępnych w zakładce dla pacjentów.

Kalkulator Hematologa
Aplikacja Kalkulator Hematologa

Kalkulator hematologa jest dostępny również jako aplikacja mobilna dla smartfonów pracujących pod kontrolą systemów Android albo iOS.

pobierz z Google Play Pobierz przez App Store

Podobne artykuły