24 lipca 2013 / dr Krzysztof Mądry

Inhibitory przekazywania sygnałów w leczeniu zespołów mielodysplastycznych

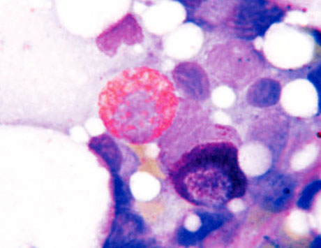
W wielu badaniach wykazano, że u chorych na zespoły mielodysplastyczne niskiego ryzyka wg IPSS obserwuje się podwyższone stężenia cytokin takich jak TNFα, TGFβ, IL1, IL6, które powodują hamowanie dojrzewania i różnicowania komórek progenitorowych hematopoezy.

Inhibitory przekazywania sygnałów w leczeniu zespołów mielodysplastycznych

Materiał przeznaczony wyłącznie dla pracowników służby zdrowia

Ten materiał jest dostępny dla zarejestrowanych użytkowników.

Zaloguj się

Szanowni użytkownicy,
część materiałów udostępnianych na naszym portalu jest przeznaczona wyłącznie dla lekarzy.
Wynika to z regulacji prawnych, do których musimy się stosować.

Jeśli nie jesteś lekarzem, zachęcamy do korzystania z przygotowanych przez nas materiałów dostępnych w zakładce dla pacjentów.

Kalkulator Hematologa
Aplikacja Kalkulator Hematologa

Kalkulator hematologa jest dostępny również jako aplikacja mobilna dla smartfonów pracujących pod kontrolą systemów Android albo iOS.

pobierz z Google Play Pobierz przez App Store

Podobne artykuły