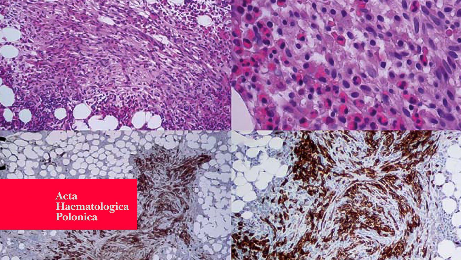
Mastocytoza układowa (systemic mastocytosis – SM) to rzadki nowotwór układu krwiotwórczego charakteryzujący się patologiczną proliferacją komórek tucznych w szpiku kostnym, skórze, wątrobie, śledzionie czy węzłach chłonnych. Częstość występowania szacowana jest na 1:400 000 - 1:250 000. Obraz kliniczny jest wybitnie różnorodny, w zaawansowanym stadium choroba prowadzi do niewydolności wielonarządowej. Do najczęściej dotychczas stosowanych terapii cytoredukcyjnych należały glikokortykosteroidy, interferon-α, kladrybina, w wybranych przypadkach imatinib. Spośród nowych leków wprowadzonych do leczenia obecnie największe nadzieje budzi midostauryna – pierwszy wielotorowy inhibitor kinazy tyrozynowej.
Materiał przeznaczony wyłącznie dla pracowników służby zdrowia
Ten materiał jest dostępny dla zarejestrowanych użytkowników.
Zaloguj się
Szanowni użytkownicy,
część materiałów udostępnianych na naszym portalu jest przeznaczona
wyłącznie dla lekarzy.
Wynika to z regulacji prawnych, do których musimy się stosować.
Jeśli nie jesteś lekarzem, zachęcamy do korzystania z przygotowanych przez nas materiałów dostępnych w zakładce dla pacjentów.

